Every Smile Story Is Different
At Lakeview Family Dentistry, we provide a range of options to help you achieve a stunning and vibrant smile. Whether you desire whiter teeth for a special occasion like a wedding or reunion, require restoration for heavily damaged teeth, or need solutions for missing teeth, we have got you covered. Trust us to make your dreams of a beautiful and healthy smile a reality.
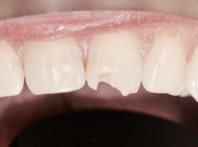
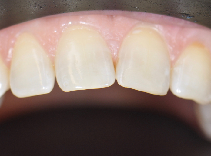
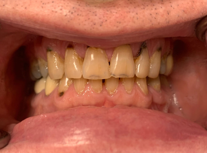
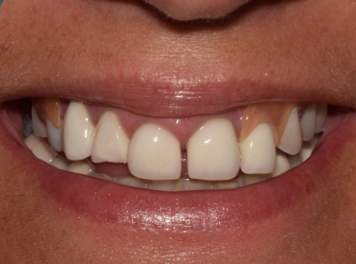
To view a before and after, simply hover the cursor over the middle icon; slide to the right to view the before photo, and slide to the left to view the patient’s results.




































